👨🏻⚕️今天一个女孩子来我们科说“医生,我在外面诊所做矫正,钢丝插到嘴巴里了,诊所医生不敢取,让过来大医院取出来!”
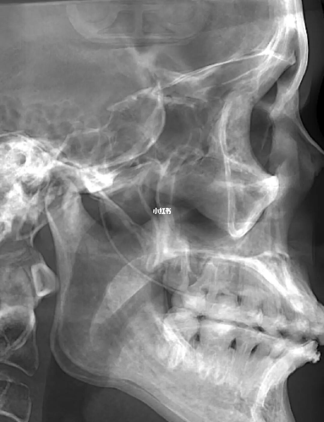
[惊恐R]通过拍片发现,上颌牙的正畸钢丝越过翼静脉丛都快插进颅内了[惊恐R]都靠近脑膜中动脉了,这要是再深一点或者偏一些[惊恐R]刺破了血管,后果不堪设想!
👨🏻⚕️我问女孩👧🏻说“你不觉得疼吗?”
女孩👧🏻说“刚刺进去的时候有点疼,后面就只是转头的时候疼了😣”
[汗颜R]不得不说这个女孩是真的头铁😓啊,我看着都害怕,她居然说的轻描淡写仿佛没啥事儿!
👨🏻⚕️我问她说“你在哪儿矫正的牙齿🦷啊?”
[满月R]女孩儿说“在一个口腔诊所做的~”
[扯脸H]矫正牙齿🦷是专业性很强的治疗,弄不好不但毁人一口牙,甚至还闹出生命危险。
[派对R]正畸医生需要多年的专业学习,像锤哥都没有给人矫正牙齿的能力。如果说真的想去矫正牙齿,建议还是去正规医院口腔科找专业的正畸医生。
[赞R]最后给我们科室打一波广告,我们广西民族医院口腔科-口腔颌面外科,医生实力雄厚,可以开展多个颌面外科手术,在整个西乡塘区,我们口腔颌面外科说第二,没有医院敢说第一,有实力说话就是这么有底气[得意R][得意R][得意R]





