哎,你听说了吗?有个20岁的小伙子,年纪轻轻的,肺居然被“啃”出了十多个洞!
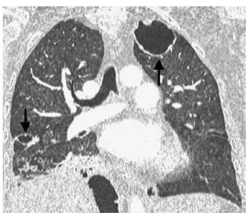
这事儿真不是吓唬人。这男生连续咳嗽、发烧一个多月,硬撑着没当回事,直到咯血才慌神去医院。结果CT片子出来,医生都惊了——整个肺像被虫子蛀过一样,布满了空洞。
你猜怎么回事?竟然是结核杆菌在作祟。这玩意儿专门“啃”肺,小伙子长期熬夜打游戏,免疫力下降,正好给了病菌可乘之机。

医生说,现在年轻人总觉得自己身体棒,有点小病小痛都硬扛。其实肺就像块嫩豆腐,真经不起这么折腾。好在治疗及时,要是再拖下去,后果不敢想。
真的,身体发出的信号可别不当回事。该休息休息,该看病看病,千万别拿年轻当资本啊!