DC娱乐网
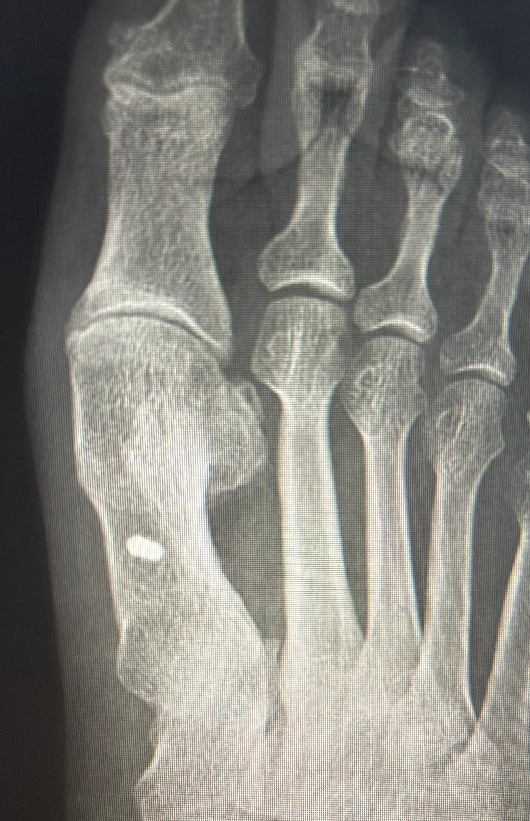
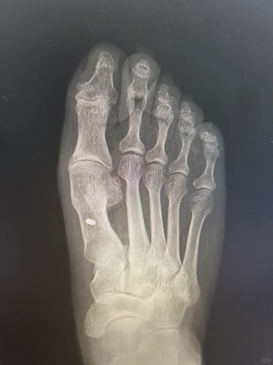
拇外翻术后三年半
2024-07-23 00:10:43
俺是李昕宇
健康
手术伤口瘢痕变成白色,术后半年隆起,一年内色深,等2年后慢慢变白。 即使当初缝合愈合并没有那么好,当初没有全部内缝,还有部分外缝的蜈蚣瘢 关节稳定,匹配良好,无不适,没有复发可能 片子上缺损的三角骨区域长满新骨,骨痂下成骨不需要担心。 新骨密度高,都是气质骨,所以强度远高于术前
热门分类
推荐
热榜
军事
NBA
体育
社会
明星八卦
娱乐
财经
科技
汽车
历史
国际
游戏
动漫
公益
搞笑
商业
互联网
数码
国际足球
房产
家居
时尚
科学探索
职场
育儿
股票
教育
影视
情感
热点
中国军情
武器
中国南海
中国足球
亚洲杯
科比
综合体育
CBA
投资
楼市
大咖秀
外汇
创业
风口
SUV
豪车
概念车
优惠
新能源
美国
欧洲
朝日韩
俄罗斯
孕期
街拍
恋爱攻略
婚姻
正能量