这个世界上有很多种畸形,足部常见的有拇外翻畸形、平足畸形、高弓畸形、马蹄内翻畸形等等。
最近几年,出现了一种新型的畸形,微创术后畸形。由于微创手术断骨后不做固定,断骨位置不定,给翻修带来很多困难。
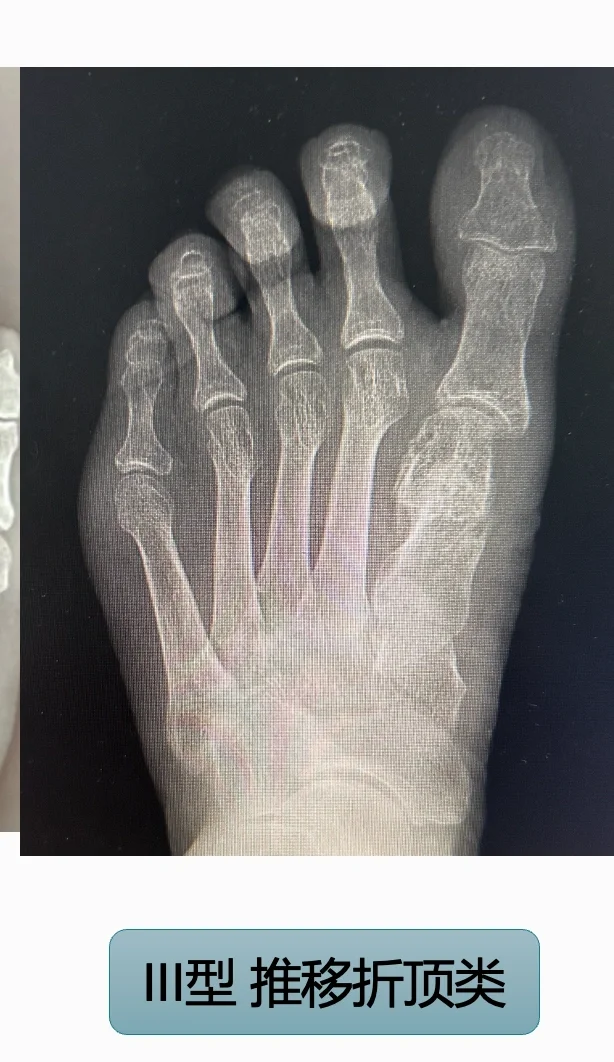
我们把这几年的典型病例做了研究,大致分出三种类型,然后针对不同的类型,研究翻修方案。
I型:拇趾明显短缩无力,断骨明显下压硌脚,关节损伤极大。
其实是这里面最难修的,目前尚无可靠的方案。翻修效果也不好。大多需要同时短缩2趾,抬高拇趾下的应力点,尽力恢复关节匹配。目前还在研究中。
II型:断骨反旋转,关节匹配不良,不舒服但功能尚可,也有不想修的,主要看症状。
翻修方案已经确定解决,翻修相对简单可靠,需要重新断骨调整,术后效果良好。
III型:短缩推移,然后靠夹卷内翻,用趾骨推挤跖骨头保持矫形效果。这种容易出现二趾的转移跖骨痛,如果拇趾下不硌脚一般不用翻修,缩短二趾调整横弓即可。如果症状明显,翻修也很困难,难点主要在肌腱挛缩后无法再延长拇趾。
拇趾不能很好受力,那么负重行走的力量会分担到其他趾,那么很容易出现顽固严重的横弓塌陷和转移跖骨痛。
由于被投诉较多,账号被限流,突然清净了很多。其实这样反而能减少手术量,让我们能有更多的时间精雕细琢,做的太少进步就慢,做的太多也会比较累。
现在刚刚好。



评论列表