(无固定微创截骨篇)
断骨没有固定,对截骨方向,复查拍片都要求比较高,即使这样,也不建议选择这种方法。
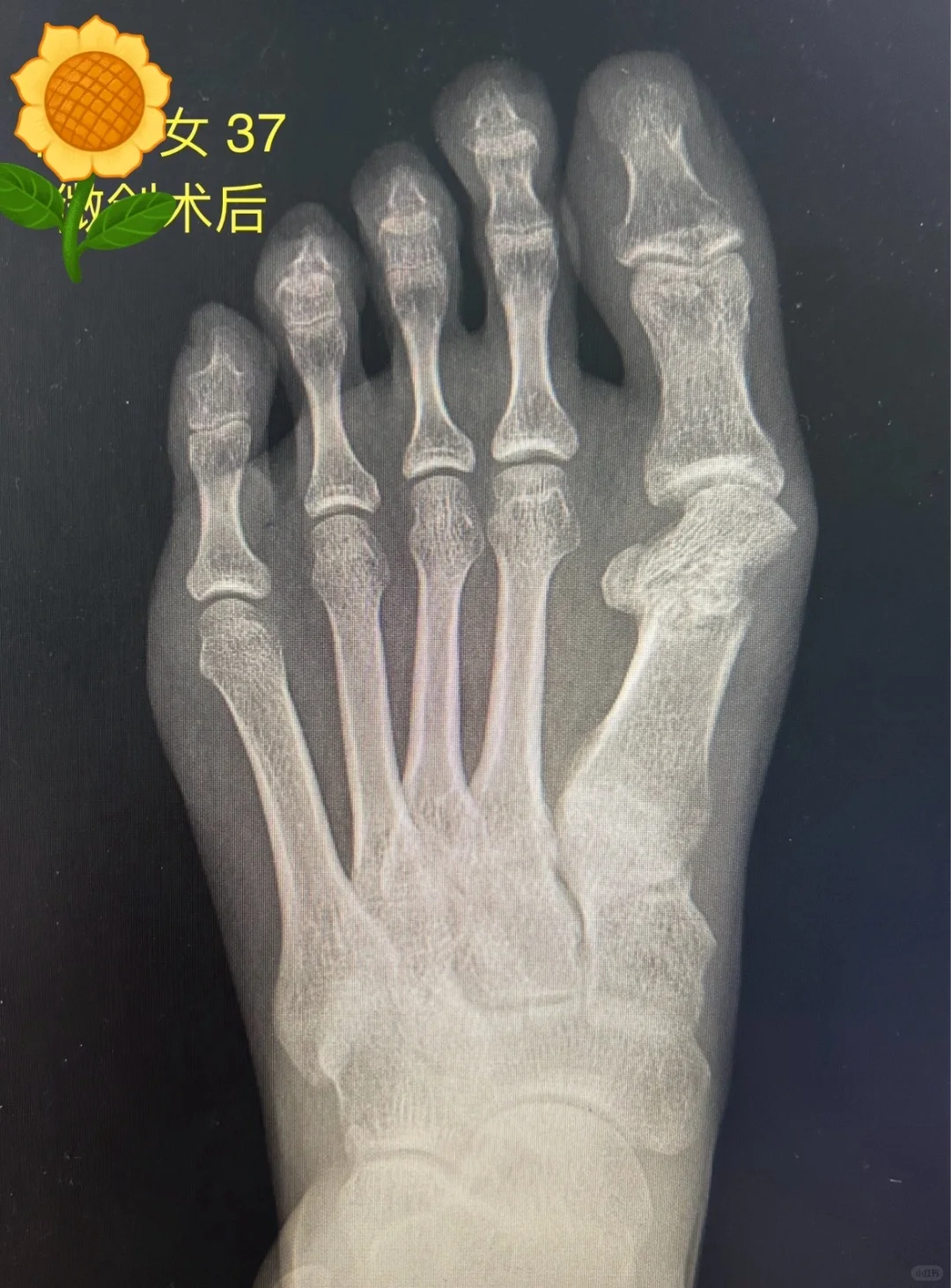
一般都会有拇趾短缩,安全的短缩量在5毫米左右,过度缩短会导致二趾下应力集中,出现转移跖骨痛,也就是横弓重度塌陷。
横弓重度塌陷需要二次手术,或者终身穿着鞋垫,二次手术大致在一年后进行,不要无限期拖延导致跖板断裂。
这种方法复查非常重要,争取一周一次,3周就会有愈合影响复查效果。复查就是看片子,如果位置不好,直接用手掰断重新长。一般2个月后就不用再复查了。(重新长的要重新算)
这个方法不用担心断骨错位,也不用担心不愈合,但是,如果没有彻底断开,手术就复发了。所以术后就下地走路,咯噔响才是最好的断开。
断骨如果靠近骨干,愈合会特别慢,甚至超过半年,但没有不愈合风险。尽量正常生活。
术后自己看外观,没有太短,没有二趾重度硌脚就随意活动,位置如果还不错,绷带包扎就不要轻易打开了,下地走路就不要太多。要注意拇趾下不要重度硌脚,但是也不能用力踩,跖骨头抬高反而也不好。
所以有经验的医生复查非常重要,反而未必需要主刀医生复查。要敢于掰断重新调整。因为带骨膜和软组织,一般不会有大的并发症。外观没问题,跖骨不要短太多,跖骨头不要抬高或者压低太多就是胜利。
转移跖骨痛发生率很高,只要拇趾不要短太多,翻修也不难,但跖骨不可再翻修拉长,以免由于张力过大导致疼痛。有三种类型的术后畸形,有不同的翻修方法,不要再做微创翻修了。


