DC娱乐网

“跪举水盆、扇耳光、关小黑屋”,14岁少男被虐待28天致重伤二级,青少年基地校长和3名教官被刑拘,4人涉嫌虐待罪被起诉

一家位于泉州的“四维成长基地”(简称四维基地),由自称“国家二级心理咨询师”向明胜担任校长,招聘几名年轻人担任“教官”,

一家位于泉州的“四维成长基地”(简称四维基地),由自称“国家二级心理咨询师”向明胜担任校长,招聘几名年轻人担任“教官”,号称“养育式成长教育模式实践基地”,专门招收青春期有“厌学、叛逆、网瘾、自残、逃学、打架”和狂躁、抑郁症等“成长障碍”的孩子。

2023年6月和8月,北方某市的武女士先后把14岁的双胞胎儿子大武、小武送到四维基地。她本以为孩子可以在心理辅导、体能训练的帮助下变得更好。没想到,9月7日,她接到小儿子骨折受伤的消息。

赶到泉州的武女士看到小武遍体鳞伤,多处陈旧性伤疤早已感染,耽误10多天的骨折造成孩子左髋部重伤二级。她称,治疗期间她得知,小武在基地中遭受了28天的虐待,“通宵罚站、跪举水盆、扇耳光、关小黑屋、殴打”等。她立即报警,向明胜支付了20余万元治疗费。

2024年,得知四维基地仍在扩大招生,武女士第二次报警。当年9月至10月,向明胜及三名教官先后被刑拘。2025年9月,本案在晋江市人民法院开庭,择日宣判。

四维成长基地大门,挂着“泉州市四维未成年人成长指导服务中心”牌子 图据受访人

“宣扬爱”的成长基地

大武、小武是双胞胎,均生于2009年。武女士是单亲妈妈,在两个孩子1岁时就离婚了。她舍不得兄弟俩分开,争取了两个孩子的抚养权。

武女士告诉红星新闻,大武在北方老家上私立中学时,在宿舍遭到霸凌,由于领头孩子也是单亲家庭,家长还诚恳道歉,武女士选择了原谅。但大武却受到刺激,开始逃学,学会抽烟喝酒,还曾试图跳河自杀。

为了不让大武堕落,经朋友介绍,2023年6月21日,她把大武送到泉州四维成长基地。“我觉得这个学校挺干净,装修也好,十几个学生,加上五六个教职工,人不多,也好管理。”

记者看到四维基地的招生宣传册称,通过“读、练、教、爱、化”五种方式进行“潜移默化,身体力行”的养育式成长教育。其中“爱”是指“爱的唤醒、爱的接纳、爱的植入、爱意浸润、爱意延续、爱心传递”。

50天后的8月11日,武女士带小武去泉州看哥哥。交谈中,向明胜得知武女士是单亲妈妈,小武不好好学习,就劝说她把小武也留下。“单亲家庭长大的孩子有硬伤。你小儿子的心理问题非常严重,必须留下来矫正一下。”

那次,武女士在学校住了一晚,大武极力劝阻,“你别把弟弟放到这里,里面很苦,弟弟吃不了这个苦,他肯定会出事。”但武女士不听。

后来武女士一直自责,当时带小武去泉州,是把他“骗去”的。她按照向明胜的指导,没跟小武告别,偷偷离开了基地。

由于基地实行封闭式管理,学生一入校就被收缴手机,武女士无法与儿子联系。她在微信上询问孩子的情况,向明胜表示“挺好的”。

9月7日,向明胜打电话给武女士,称小武“骨折了,但没有很大影响”。武女士很着急,要求将小武送到医院。向明胜拒绝了。直到9月9日武女士赶到泉州,才把儿子送到泉州市正骨医院。“医生说,这已经是陈旧性骨折了。”

目前在北方老家康复治疗的小武 图据受访人

在医院,武女士看到小武面黄肌瘦,遍体鳞伤,情绪崩溃了。其间,大武来医院,告诉她弟弟在基地里遭受体罚,她才报警。

“用脚踹”的成长基地

武女士告诉红星新闻,小武基本上健康,在北方老家上私立学校,每学期都要提交体检报告才能住宿。但他小时候做过心脏手术,体质弱。在四维基地跟不上体能训练,于是每天遭到体罚。

小武告诉红星新闻,四维基地的日常课程很简单:早起到操场跑10圈,然后打扫卫生,吃早饭;上午体能训练,然后吃午饭;下午上一节心理辅导课,接着跑30圈,然后吃晚饭;晚上接着跑圈,10点睡觉。没有周末,但周日跑的少一些。

他向记者回忆,第一次下午跑30圈,他跑不动,教官“连拖带拉”逼着他跑。“晚饭前,我还没开吃就呕吐了。”晚上教官拉着他接着跑。几天后,小武跑步时摔倒,动不了,吃饭前,他只能在地上往前爬。向明胜认为他是“装的”,让四五个人把他拖到食堂,导致他大腿一侧脱了一层皮。此后,他常被嫌跑太慢,当他说膝盖疼,就会被说“装的”,然后遭到校长、教官的踢踹。

小武说,8月底一天,校长嫌小武跑太慢,让教官拿绳子拴在皮带上,拉着他跑。后来他腿软摔跤,感觉腿骨折了一下,很疼。“同学告诉教官和校长,校长走过来,直接往我疼的地方猛踹了几脚。”

这次骨折,没能引起重视。小武说,那天下午,他一直趴在操场上,吃饭时,他被几个人拖到食堂,被禁止吃饭,然后又被拖回操场,又连续遭到踢踹。

小武的膝盖伤痕 图据受访人

小武说,骨折后,他上厕所蹲不下去,教官发现后,让其他人把他拖到操场,罚他在太阳底下跪着,然后光脚站立。他还被禁止扶墙,因此无法去厕所,有次尿了裤子,教官让一群人把他拖出来,按在地上。“他们让我站在操场上。他们站成一圈围观。”

在此期间,向明胜曾找来一个诊所中医,给小武检查,对方看了一下后告诉向明胜,“要么是骨折,要么就是装的”。向更认为小武是装的。

此外,小武先后三次被关进一个由楼梯储物间改造的“小黑屋”。“第一次是因为跑得慢,后面两次是骨折后没法跑步。关了一下午才放出来。”小武说,最后一次,他被罚跪在小黑屋里,向明胜亲自看管,“不给我水喝。”大武告诉红星新闻,弟弟曾被连续罚站三天三夜。

小武称,9月6日,他遭受了最残酷、最漫长的一次虐待。早上,向明胜踹门进宿舍,让他去教室,因无法上楼,他被要求15分钟内爬上三楼。爬上去后,他被要求跪着举凳子,凳子掉下,教官就踢一脚,午休时也不能停。下午,他被拖到操场,他被要求举水盆,“水洒了,教官就踹我;然后继续让我跪。”

他说,晚上,教官让他继续举水盆。因疲劳和瞌睡,他倒了几次,每次都被校长、教官踢踹。中途,他被要求站起来,因地滑又摔了一跤。后半夜,向明胜让他一直跪着,“他问我问题,我一说话,他就扇我脸。我说疼,他问我哪儿疼,我给他指腰胯,他就往我那儿猛踹。另一个教官也踹了我胸口。”

小武说,他被虐待了一天一夜,一直跪到7日天亮。第二天,为了“戳破我的谎言,让我死心”,向明胜带小武去镇卫生院拍了片子,“片子显示是骨折,他立马变了一副面孔,给我妈打电话。”

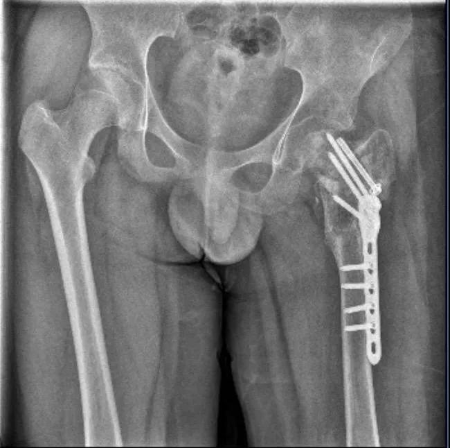
小武左股骨陈旧性骨折,打了钢针、钢板 图据受访人

小武说,他的多处伤口都是在太阳下的水泥地上拖行造成的。“流血后,脚后跟起了两个水泡,教官给我戳破,简单消毒后就不再管。”他的伤疤,多次反复结痂。

武女士见过那几个打人的教官,“都是年轻小伙。”她曾询问医生,为什么孩子的伤会这么严重,医生说,小武一开始摔倒,并不严重,但后来多次遭踢踹,导致骨折,加上频繁的罚跪、拖行,导致各处伤口越来越严重,并感染。

“披外衣”的成长基地

“四维成长基地”并非正式注册的机构。其招生宣传手册显示,地址为福建省晋江市英林镇嘉排村林厝区135号。天眼查显示,以该地址注册的公司为“泉州市泉芯心理咨询有限公司”,法人代表是向明胜,注册于2023年4月,于2024年9月27日注销。

教职工小孟告诉红星新闻,这家心理咨询公司只是向明胜为了“规避监管”而设置的一个“外壳”。实际上,四维基地从2022年就开始运营。

武女士告诉红星新闻,第一次到四维基地后,她对这里产生信任是源于两点。一是,校长向明胜是国家二级心理咨询师,她希望他可以给大武做一些心理矫正和疏导;二是基地大门柱子上挂了一个“泉州市四维未成年人成长指导服务中心”(简称四维成长中心)的牌子,她上网查了一下,据称该中心系泉州市民政局主管,“政府办的,肯定正规,我放心。”

天眼查显示,四维成长中心成立于2022年8月,登记和主管单位是泉州市民政局。

红星新闻咨询泉州市民政局未成年人救助保护中心,工作人员表示,2022年,民政局确实批准过四维成长中心,性质是社会公益组织,地点在泉州市鲤城区百脑汇商厦,业务范围是开展“困境儿童日常帮扶与关爱援助”。工作人员称,“我们并没有批准他们成立什么矫正学校、教育基地,也不知道他们跑到晋江的村里建了这个基地。”2024年,民政局发现该中心“银行账户长期为0,没有活动迹象”,要求其关闭了。

然而此后,四维基地仍继续招生运营。2024年,武女士听一名家长说,基地里的孩子更多了,有孩子“因为逃跑被吊着打”。武女士再次报警。

7月,晋江市公安局对小武被故意伤害一案立案侦查。随后,晋江市公安局对小武进行了人体损伤程度鉴定,8月29日出具的《鉴定意见通知书》显示,小武三个部位不同程度损伤,其中,“左髋部重伤二级,胸部轻伤一级,双下肢轻微伤”,同时,其左股骨打了钢针、钢板。

同年9月14日,向明胜因涉嫌过失致人重伤罪,被晋江市公安局刑拘,次日取保候审,10月19日,晋江警方再次将向明胜刑拘。10月中旬至下旬,何某坡、张某宇、洪某鑫三名老师也先后被刑拘。

2025年9月,经晋江市检察院公诉,向明胜涉嫌故意伤害罪和虐待被监护、看护人罪两起罪名,何、张、洪三名教官涉嫌虐待被监护、看护人罪一案,在晋江市法院开庭审理。

红星新闻实习记者 陈龙 记者 刘木木

来源:红星新闻 编辑:丁丰林