DC娱乐网
到底该不该洗牙?
2025-10-09 17:28:06
兔子先森的胡萝卜
娱乐
到底该不该洗牙?
猜你喜欢
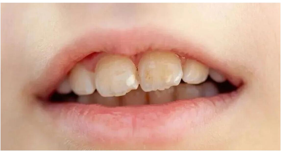
一个月前,我去洗牙,洗掉了一大块结石,那味道真是难闻,就是洗完之后,感觉满嘴漏风
2025-09-24
南风意史册
标签:
洁牙
牙结石
从“头汗”辨水结胸:一则医案揭示中医辨证精微北宋年间,名医孙兆遇一奇症:患者俞伯
2025-09-12
飞翔说健康
标签:
中医
茯苓
霍建华的牙齿太吓人了吧?连普通人的牙齿都不如啊?普通人的牙齿基本都比他的牙齿白吧
2025-09-30
嬴河漫漫人生
标签:
牙齿
霍建华
很多人误会了!这种药不是壮阳,而是让男人恢复正常功能随着生活节奏加快与压力
2025-10-07
曹彰开心养护
标签:
阳痿
亲密关系
以为毁牙第一名是可乐?大错特错!很多看似健康的饮料,对牙齿的伤害远超可乐。研究
2025-10-11
奇色故事录
标签:
可乐
牙齿
柠檬
橙汁
口腔健康
养生食谱
热门分类
推荐
热榜
军事
NBA
体育
社会
明星八卦
娱乐
财经
科技
汽车
历史
国际
游戏
动漫
公益
搞笑
商业
互联网
数码
国际足球
房产
家居
时尚
科学探索
职场
育儿
股票
教育
影视
情感
热点
中国军情
武器
中国南海
中国足球
亚洲杯
科比
综合体育
CBA
投资
楼市
大咖秀
外汇
创业
风口
SUV
豪车
概念车
优惠
新能源
美国
欧洲
朝日韩
俄罗斯
孕期
街拍
恋爱攻略
婚姻
正能量