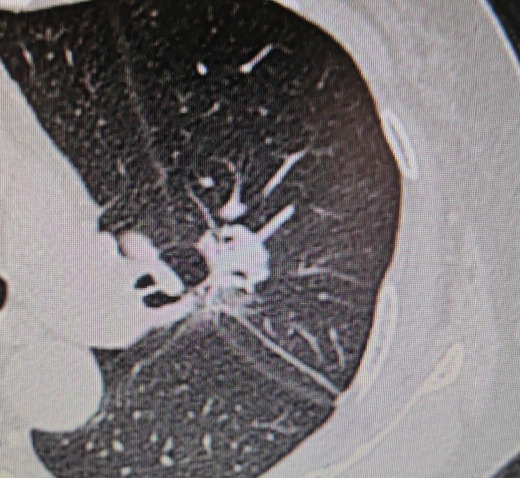
给大家分享一个特别的病例,这位65岁的女性患者,最近两个月,全身关节总是酸痛,而且越来越严重。幸好她有位亲戚是医生,就建议她做个全面体检。 这一查,果然发现了问题——肺里长了一个肿瘤,同时还请了风湿免疫科的医生会诊,也判断她有风湿方面的问题。 又做了进一步检查考虑是肺癌,幸运的是,全身检查下来没有发现转移。我们很快为她安排了手术,术后病理也证实了是“浸润性腺癌”。 手术过程倒是挺顺利,不过这位患者的肺部结构确实和一般人不太一样——她的左上肺叶自然分成了两叶,也就是固有段和舌段分开的。这种情况真的很少见,可能一百个人里也难找到一个。 另外,她的肺动脉有五支分支,走形也不典型,舌段的动脉是从气管前方走的。好在手术顺利完成,没有受到这些变异的影响。 最让人意外的是术后第二天,我们查房时问她关节还痛不痛,她说:“奇怪,好像不痛了。” 这其实就印证了这是“副癌综合征”的表现——肿瘤分泌的特殊物质进入血液循环,引起关节酸痛等症状。随着肿瘤被切除,症状也就自然缓解了。 这个病例提醒我们,当身体出现不明原因的关节疼痛时,除了考虑风湿免疫类疾病,也要警惕可能是肿瘤发出的信号。 特别是当常规治疗效果不好时,一定要做全面检查,找出真正的病因。[作揖][玫瑰]

