
导语:ICU里血糖突然飙到300,却没给任何糖水?——当术后患者血压尚稳,血糖却先爆表,我们惯怪肾上腺素。可这条老剧本漏掉了一个隐藏导演:杏仁核。最新小鼠实验告诉你,只要30分钟束缚,大脑里一群神经元就能把肝糖输出直接拉高40%,而且完全绕过肾上腺。压力性高血糖,原来另有专线。

图源:CMT
血糖应激剧本缺页?杏仁核-肝轴跳过肾上腺直接拉糖当机体遭遇环境威胁时,需快速调动能量储备以支持防御行为,同时抑制摄食等竞争行为,这一过程依赖下丘脑-垂体-肾上腺(HPA)轴及肾上腺髓质系统调控的激素(如皮质酮、肾上腺素)来调节血糖。过往研究已证实,血糖升高与“战斗-逃跑”行为相关,且葡萄糖输注可增强心血管反应、促进记忆编码,说明应激诱导的糖代谢适应具有重要进化意义。
然而,目前对调控应激性高血糖及摄食抑制的脑内神经环路机制知之甚少。虽已知杏仁核可协调应激行为适应,但对其是否参与代谢调节、具体作用通路及机制仍缺乏深入研究。经典观点认为,应激性血糖调节完全依赖肾上腺和胰腺激素,而脑区直接调控外周代谢的通路尚未被充分挖掘,这一研究空白使得学界难以解释为何部分应激性高血糖患者的激素水平无明显异常。
2025年7月,Nature杂志发表了一篇题为“Amygdala–liver signalling orchestrates glycaemic responses to stress”的文章,该研究首次发现内侧杏仁核(MeA)通过多突触通路连接肝脏,独立于经典激素系统调控应激性血糖,且反复应激会破坏这一环路功能,导致糖尿病样血糖紊乱,为理解应激与代谢疾病的关联提供了全新视角。

更令药物开发者兴奋的是,研究团队用空间转录组在MeA锁定一批高表达Vglut2且与代谢遗传位点高度重叠的投射神经元,为将来精准干预提供了可靶向的分子。简言之,这份地图把“情绪升糖”写进了可编辑的神经环路,也为解释“慢性压力→糖尿病”提供了绕过激素的证据。
化学/光遗传双向验证,同位素示踪算糖账本研究是一项基于C57Bl/6小鼠及转基因小鼠(如Vglut2-Cre、Vgat-Cre)的基础实验研究,旨在明确MeA在应激性糖代谢调节中的作用及神经环路机制,探索反复应激对该环路功能及代谢稳态的影响。
研究首先通过束缚应激等建立急性应激模型,检测小鼠血糖、激素水平及肝脏糖代谢相关基因表达(如葡萄糖-6-磷酸酶G6pc)。随后采用化学遗传学(AAV-hSyn-hM3DGq、AAV-hSyn-hM4DGi)、光遗传学(AAV-hSyn-hChR2(H134R))调控MeA神经元及MeA投射至腹内侧下丘脑(VMH)的神经元(MeA^VMH神经元)活性,记录神经元钙信号(GCaMP8s),观察血糖及摄食变化。
通过全身病毒示踪(AAV1-Cre+PRV-GFP)绘制MeA至肝脏的多突触通路,利用空间转录组(Xenium)分析MeA^VMH神经元的基因表达特征。同时,建立反复应激模型(每日2次束缚应激,持续5天),观察MeA神经元活性及血糖调节功能变化;通过条件性敲除MeA^VMH神经元(AAV-FLEX-DTA),评估其对高脂饮食诱导的代谢异常的影响。
主要评价指标包括血糖水平、摄食行为、肝脏糖异生相关基因(G6pc、Foxo1)及蛋白(G6Pase、PCK1)表达、神经环路活性;次要评价指标为血浆激素(皮质酮、肾上腺素、胰岛素、胰高血糖素)水平、肝脏糖原含量、突触连接特征及行为学指标(焦虑样行为)。
30分钟束缚→MeA神经元放电→肝糖输出增40%,重复应激让环路“熄火”血糖居高不下急性应激激活MeA^VMH神经元调控血糖
研究结果显示,急性束缚应激可快速升高小鼠血糖(6小时禁食小鼠应激后血糖较对照组显著升高,p<0.001),同时上调肝脏G6pc基因表达,且这一效应在完全进食小鼠中同样存在。通过光纤测光发现,束缚应激、领地cage应激等均能快速激活MeA神经元,且神经元活性升高先于血糖升高(图1),提示MeA神经元可能参与应激性血糖调节。

图1 急性束缚应激激活MeA神经元以调节葡萄糖
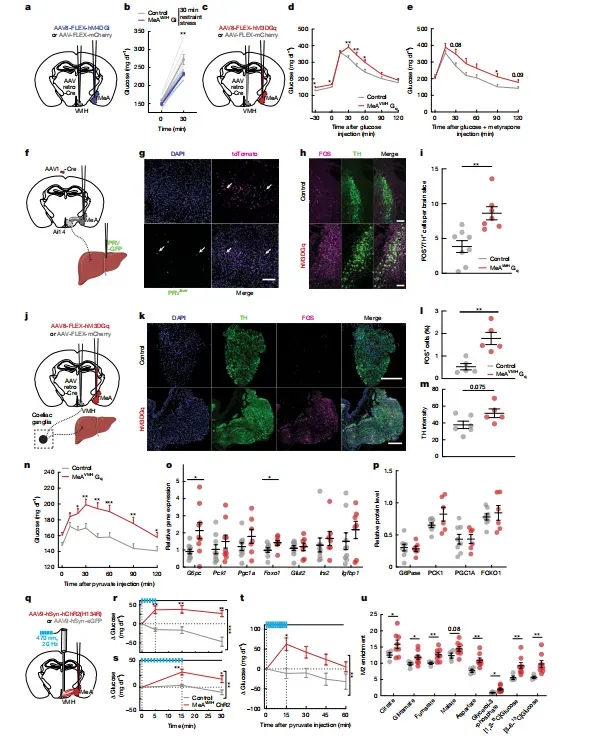
注:a.束缚应激实验流程示意图;b.无应激(对照)与30min束缚应激前后血糖水平;c.束缚应激(红)与无应激(灰)条件下血浆皮质酮变化;d.饱食小鼠经历30min束缚应激后肝G6pc与Pck1基因表达的相对倍变;e.对照与30min束缚小鼠MeA(距前囟−1.58mm)FOS表达;f.对照与30min束缚后前部(−1.06至−1.34mm)与后部(−1.34至−2.06mm)MeA FOS+细胞数;g.光纤记录实验示意图(上)与GCaMP8s表达及光纤位置(下);h.束缚30min期间MeA GCaMP8s信号z-score(下)与血糖(上)随时间变化;i.GCaMP8s z-score对齐至捕捉开始时刻;j.基线5min、捕捉30s、束缚30min、释放5min四阶段平均GCaMP8s z-score;k.MeA化学遗传激活示意图;l,m.CNO(3mg kg⁻¹腹腔)处理后6h空腹小鼠血糖变化;n,o.CNO处理后6h空腹小鼠血浆皮质酮(n)与胰岛素(o)。
化学激活MeA足以复制升糖,却不碰肾上腺素
CNO激活MeA后15分钟血糖升至峰值(≈250mg/dL vs 基础200mg/dL,p<0.01),而血浆肾上腺素、皮质酮与对照无差异;甚至用皮质酮合成抑制剂甲吡酮亦无法阻断升糖(图1)。结论:MeA→升糖通路独立于经典HPA/肾上腺髓质轴。
环路解剖:MeA Vglut2+神经元投射VMH,再经交感神经直抵肝脏
病毒示踪显示74%的VMH投射神经元为Vglut2+;空间转录组发现这些细胞富集与血糖、T2D相关的基因(Human Genetic Evidence评分>0.5)。光刺激MeA→VMH轴突5分钟,血糖即显著高于eGFP对照(Δ≈+25mg/dL,图2)。

图2 MeA→VMH神经元经交感-肝轴调控血糖
升糖机制:交感驱动肝糖异生,13C丙酮酸掺入增20%
化学激活MeA→VMH后,肝G6pc表达增1.5倍(p<0.01),腹腔神经节酪氨酸羟化酶(TH)强度升高;给予[2,3-13C]丙酮酸,M2-柠檬酸、M2-苹果酸等中间产物13C富集度平均提升20%(图2)。由此,作者指出这一环路升高了血糖。
重复应激让环路“脱敏”,小鼠出现持续高血糖且高脂饮食下更易糖耐量受损
每12h一次束缚,第9次时血糖反应几乎消失,MeA-VMH钙信号亦衰减70%以上。更关键的是,利用DTA消融30% MeA→VMH神经元后,标准饲料即可见体重增6%、随机血糖升15%;换高脂饮食,GTT曲线下面积再增25%,肝β2-肾上腺素受体上调、α2A下调,提示交感失衡(图3)。

图3 重复应激钝化MeA→VMH环路并诱发代谢异常
总结本研究首次绘制出一条不依赖肾上腺的“情绪升糖专线”:内侧杏仁核→腹内侧下丘脑→交感神经→肝脏,30分钟内的急性应激即可借道此轴把肝糖输出拉高四成以上。传统教科书只提肾上腺素、皮质醇,如今必须加上一条神经直连通路,为解释ICU或术后“无激素升糖”提供了回路基础。更临床化的启示在于,重复应激令该线路脱敏,小鼠随之出现体重增加、糖耐量受损等2型糖尿病前奏。
这意味着长期精神压力大的人群,或许正经历同样的“神经-肝”失控。作者用空间转录组把Vglut2+ MeA神经元标注为可干预的“分子邮编”,为将来开发靶向杏仁核升糖回路的药物或神经调控疗法奠定路线图。简言之,压力与糖尿病之间,不只有激素,还有一条可以被编辑的神经高速公路;谁能稳住这条路的信号,谁就可能把应激性高血糖甚至2型糖尿病的起点,提前锁死。
参考文献
Carty JRE, Devarakonda K, O'Connor RM, et al. Amygdala-liver signalling orchestrates glycaemic responses to stress. Nature. 2025 Sep 3. DOI: 10.1038/s41586-025-09420-1.
“医学论坛网”发布医学领域研究成果和解读,供专业人员科研参考,不作为诊疗标准,使用需根据具体情况评估。
编辑:白术
审核:梨九
排版:蓝桉
封面图源:CMT