肺脓肿属于肺部感染的广义范畴,包括肺坏疽和坏死性肺炎,后者的特点是出现多个脓肿。肺脓肿是指肺实质内局部化的脓液或坏死组织积聚,常伴随腔隙形成,一旦出现支气管肺瘘,这些腔隙通常会显示空气-液体平面。其早期体征和症状与肺炎相似,包括发热、寒战、咳嗽、夜间盗汗、呼吸急促、体重下降、乏力、胸痛等,其诊断主要基于CT和胸片,而治疗通常采用抗生素联合引流或手术治疗。

·一、肺脓肿的病因与分型 ·
肺脓肿通常根据病程的长短分为急性和慢性两类,其中急性肺脓肿指时间在6周内,而慢性脓肿则持续超过6周。

急性肺脓肿通常界限不清,周围肺实质不明确,充满厚厚的坏死碎片
急性肺脓肿从组织学上看,在脓肿的中心部分有坏死组织与坏死性粒细胞和细菌混合。围绕这个区域有嗜中性粒细胞、扩张的血管和炎症性水肿

病理改变,中性粒细胞浸润,血管扩张和炎症性水肿
慢性肺脓肿的形态和结构的改变与急性肺脓肿有所不同。
1)不规则星状:慢性肺脓肿通常呈现不规则的星状形状

2)清晰边界:慢性肺脓肿与周围肺实质的界限通常清晰
3)灰色线条或厚重碎片:慢性肺脓肿内部通常充满灰色线条或厚重的坏死组织
4)脓肿中心:脓肿中心含有脓液,可能含有或不含细菌
5)化脓性膜:脓肿周围有一层化脓性膜,这层膜是白细胞迁移至脓肿腔的通道

慢性脓肿中心有脓液,可能含有或不含细菌。脓肿周围有化脓性膜
此外,肺脓肿可根据其病因和感染部位进行分型:
1) 原发性肺脓肿:通常为单发,发生在没有既往基础疾病的健康个体中。主要由吸入口腔分泌物引起,例如:①牙周感染,②鼻窦炎,③意识障碍,④营养不良,⑤酒精中毒,⑥食管反流,⑦呕吐,⑧气管插管或气管切开术,⑨神经肌肉疾病
2) 继发性肺脓肿:发生在具有潜在或易感疾病的患者中,如①支气管阻塞,②并存肺部疾病,③肺栓塞,④腹部脓毒症血源性播散
3)非特异性脓肿:痰液中未能发现明确的病原。
需要注意的是口腔卫生不良患者是肺脓肿发生的独立危险因素,其中肺移植患者分枝杆菌复杂感染的发生率较高,这可能与术后需要更高水平的免疫抑制治疗有关。
·二 肺脓肿病理学机制 ·
在大多数病例中,肺脓肿是由于吸入口咽内容物并伴随厌氧菌感染所致的原发性肺脓肿。这些原发性肺脓肿通常最初表现为吸入性肺炎,随后可能会合并肺炎症,若未及时治疗,通常会在1至2周内进展为组织坏死。
1)吸入:当细菌随口咽部分泌物吸入肺部时,它们会停留在支气管远端,导致局限性肺炎。
2)炎症和坏死:细菌繁殖并释放毒素,导致肺部组织炎症和坏死。
3)液化性坏死:中性粒细胞释放蛋白酶,将坏死组织分解成液体,形成脓肿。
4)脓肿形成:随着炎症和坏死的进展,脓肿逐渐扩大,形成含有脓液的空洞
肺脓肿的常见部位与其病因密切相关,通常出现在以下区域:
1)右下肺和左下肺:这两个区域是最常见的肺脓肿位置,占所有病例的75%。

2)右上肺后段:这个区域也是肺脓肿的常见位置,尤其是对于仰卧位误吸的患者。
3)中叶:在呕吐和俯卧位吸入的情况下,肺脓肿也可能出现在中叶,这通常是酗酒人群常见的情况。
肺脓肿的致病菌种类繁多,包括厌氧菌、需氧菌和其他病原体:
1)厌氧菌:是肺脓肿中最常见的致病菌,尤其是脆弱拟杆菌、梭形杆菌和坏死杆菌等革兰氏阴性菌,以及消化链球菌和微需氧链球菌等革兰氏阳性菌。链球菌属,包括肺炎链球菌血清型3和化脓性链球菌复合体,也是常见的厌氧菌。
2)需氧菌:虽然不如厌氧菌常见,但也是肺脓肿的重要致病菌。主要包括金黄色葡萄球菌(包括MRSA)、溶血性链球菌、肺炎链球菌、肺炎克雷伯菌、铜绿假单胞菌、流感嗜血杆菌B型、不动杆菌属、大肠杆菌和军团菌等。
3)其他病原体:肺脓肿的致病菌也可能包括分枝杆菌属、曲霉菌、隐球菌、组织胞浆菌、球孢子菌、隐球菌、溶组织阿米巴、西曼氏并殖吸虫等。
放线菌和星形诺卡菌被认为是肺脓肿的重要致病菌,需要更长时间的抗生素治疗。
·三、肺脓肿的评估与诊断 ·
1)临床症状:肺脓肿的早期体征和症状与肺炎相似,包括发热、寒战、咳嗽、夜间盗汗、呼吸急促、体重下降、乏力、胸痛和偶见贫血。最初,咳嗽通常为无痰咳嗽,但当支气管通道形成时,咳嗽变为有痰咳嗽,还可能伴有咯血。
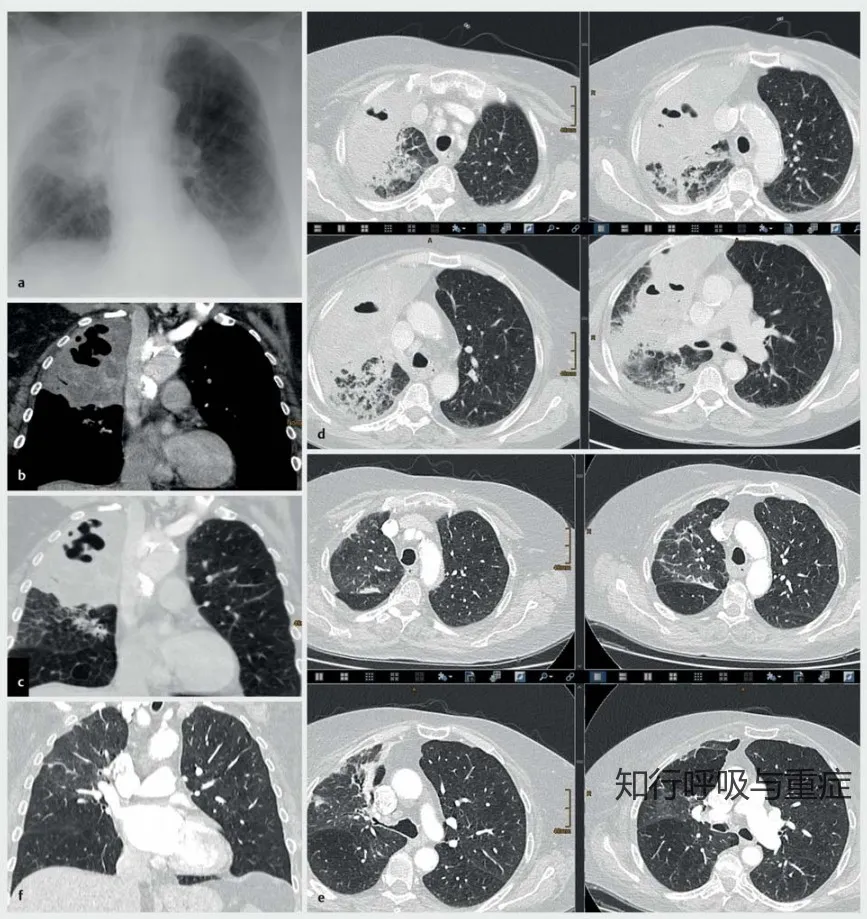
2)评估:胸部X线和CT扫描有助于诊断肺脓肿。

肺脓肿的CT扫描
3)鉴别诊断:在评估肺脓肿患者时,应考虑以下鉴别诊断:
①支气管癌(鳞状细胞癌或小细胞肺癌)
②结核
③局部性胸膜脓肿
④异物吸入
⑤尘肺
⑥食管裂孔疝
⑦肺血肿
⑧脓毒性肺栓
⑨塞肺部包虫囊肿
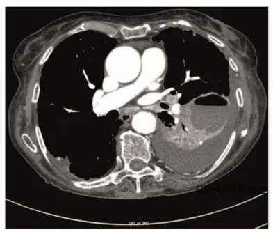
肺脓肿与肺部囊性病变(如肺内支气管囊肿、肺隔离症或继发性感染的肺气肿性大疱)的鉴别有时较为困难。然而,病变的部位和临床表现通常能为诊断提供指导。局部性胸膜脓肿可通过CT扫描或超声进行区分。其中气-液平面的影像学表现也可见于肺部包虫囊肿。

肺包虫囊肿可见气液平面
4)支气管镜检查:支气管镜检查在肺脓肿的诊断中起着至关重要的作用。它不仅可以获取微生物学检查样本,从而确定病原体种类,还可以明确脓肿的支气管内病因,例如肿瘤或异物。

5)随着技术的进步,下一代测序(NGS)等痰液微生物学分析技术可以更精准地确定病原体,从而制定更有效的治疗方案。
·三 肺脓肿的治疗/管理 ·
· 1抗生素的使用 ·
由于肺脓肿的致病菌通常是多种微生物的混合,因此建议使用广谱抗生素进行治疗。以下是一些常用的抗生素:
1)针对厌氧菌:克林霉素、阿莫西林/克拉维酸、哌拉西林/他唑巴坦以及美罗培南。
2)针对需氧菌:第二代头孢菌素、新一代氟喹诺酮类药物、大环内酯类药物、万古霉素
3)针对耐甲氧西林金黄色葡萄球菌:利奈唑胺、万古霉素
肺脓肿的抗生素治疗需要根据患者的具体情况和病原菌的种类进行个体化选择。选择合适的抗生素并进行足量的治疗,才能有效地控制感染,促进肺脓肿的愈合。
· 2 手术治疗·
肺脓肿的主要治疗原则是抗感染和脓液引流。随着医学介入技术的提高,针对肺脓肿的介入治疗方法也有所创新,从最初普通的经皮置管引流术和内镜下引流术到目前微创真空辅助闭合疗法。
1)经皮置管引流术:经皮置管引流术是一种在超声或CT引导下使用套管 针经皮穿刺留置导管引流的微创手术,其操作相对简单、 创伤小.无需开胸,可随时进行多次脓液冲洗,多无需配 合体位引流,主要用于周围性肺脓肿。

2)内镜下引流术:目前临床上内镜下引流术主要见于气管镜下肺灌洗和气管镜下肺内置管术。其中前者仅对病灶进行灌洗、注药。而后者是在前者的基础上加用了肺内留置导管持续引流的步骤,使得更深处的肺脓肿得到了一次气管镜操作下的多次灌洗治疗,不需反复冲洗。
3)支气管内超声导管鞘下引流术:自2010年以来,研究发现支气管内超声导管鞘引导下 的经猪尾型导管引流方法同样适用于中央型肺脓肿,尤其 是病灶与气道相通者更佳。
4)微创真空辅助闭合疗法:微创真空辅助闭合疗法是胸外科手术中使用真空负压原理引流伤口的新颖疗法。自2014年已逐渐运用于周围性肺脓肿。
2.对于直径大于6厘米的脓肿或症状持续超过12周且接受适当治疗的患者,如果患者的整体状况允许,应考虑手术治疗。对于单个大型脓肿或慢性脓肿,可以考虑进行肺叶切除术或肺段切除术。
· 3 支持性治疗·
一般支持措施包括高热量饮食、纠正液体和电解质以及呼吸康复气道廓清治疗以增加通过痰液经气道排出的量。

· 预后 ·
在大多数情况下,经验性抗生素治疗能够成功治疗原发性肺脓肿,随后根据痰液培养和NGS结果进行个性化治疗,治愈率约为90%。继发性脓肿则需要治疗其基础病因以改善预后。继发性肺脓肿患者的预后较差,尤其是在免疫抑制患者和支气管肿瘤患者中,死亡率较高。
· 参考文献 ·
[1] Sabbula BR, Rammohan G, Sharma S, Akella J. Lung Abscess. In: StatPearls. Treasure Island (FL): StatPearls Publishing; June 8, 2024.
[2]Kuhajda I, Zarogoulidis K, Tsirgogianni K, et al. Lung abscess-etiology, diagnostic and treatment options. Ann Transl Med. 2015;3(13):183. doi:
10.3978/j.issn.2305-5839.2015.07.08
3]Feki W, Ketata W, Bahloul N, Ayadi H, Yangui I, Kammoun S. Abcès du poumon : diagnostic et prise en charge [Lung abscess: Diagnosis and management]. Rev Mal Respir. 2019;36(6):707-719. doi:10.1016/j.rmr.2018.07.010
[4]Hillejan L. Management des pulmonalen Abszesses: Diagnostik und Behandlung [Management of Lung Abscess - Diagnostics and Treatment]. Zentralbl Chir. 2020;145(6):597-609. doi:10.1055/a-0949-7414
[5]刘雪,王慧林,徐栓红. 肺脓肿的介入治疗进展. 国际呼吸杂志,2019,39(08):637-640. DOI:10.3760/cma.j.issn.1673-436X.2019.08.017