DC娱乐网
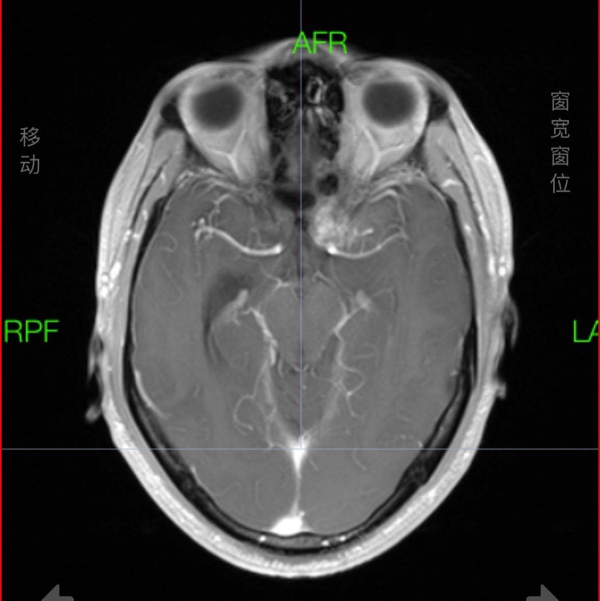
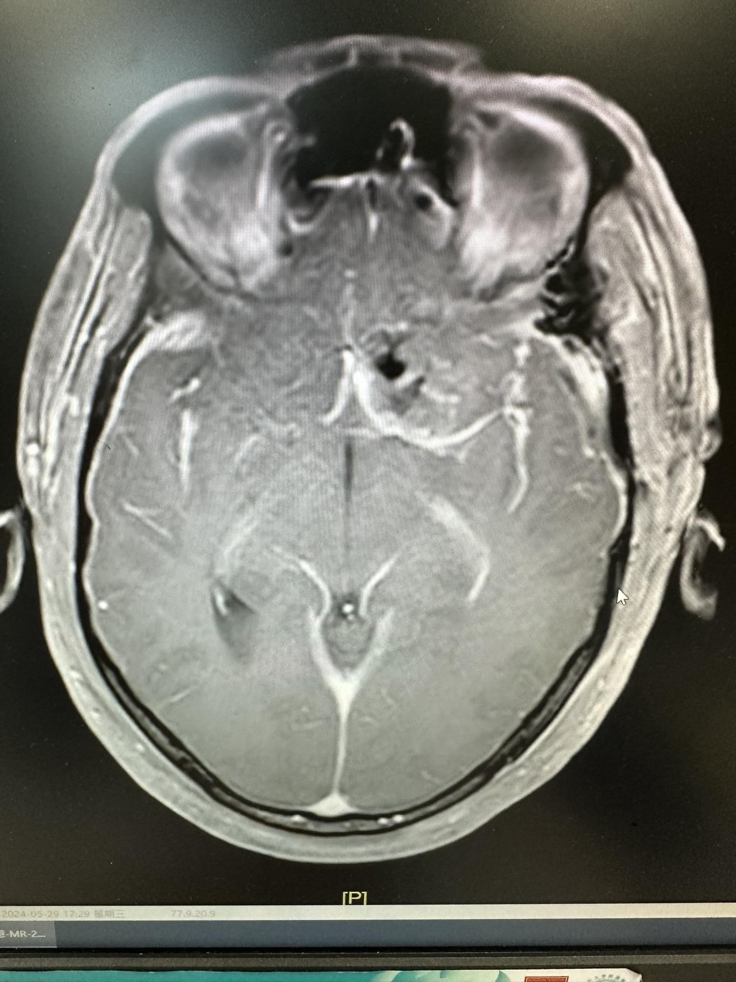
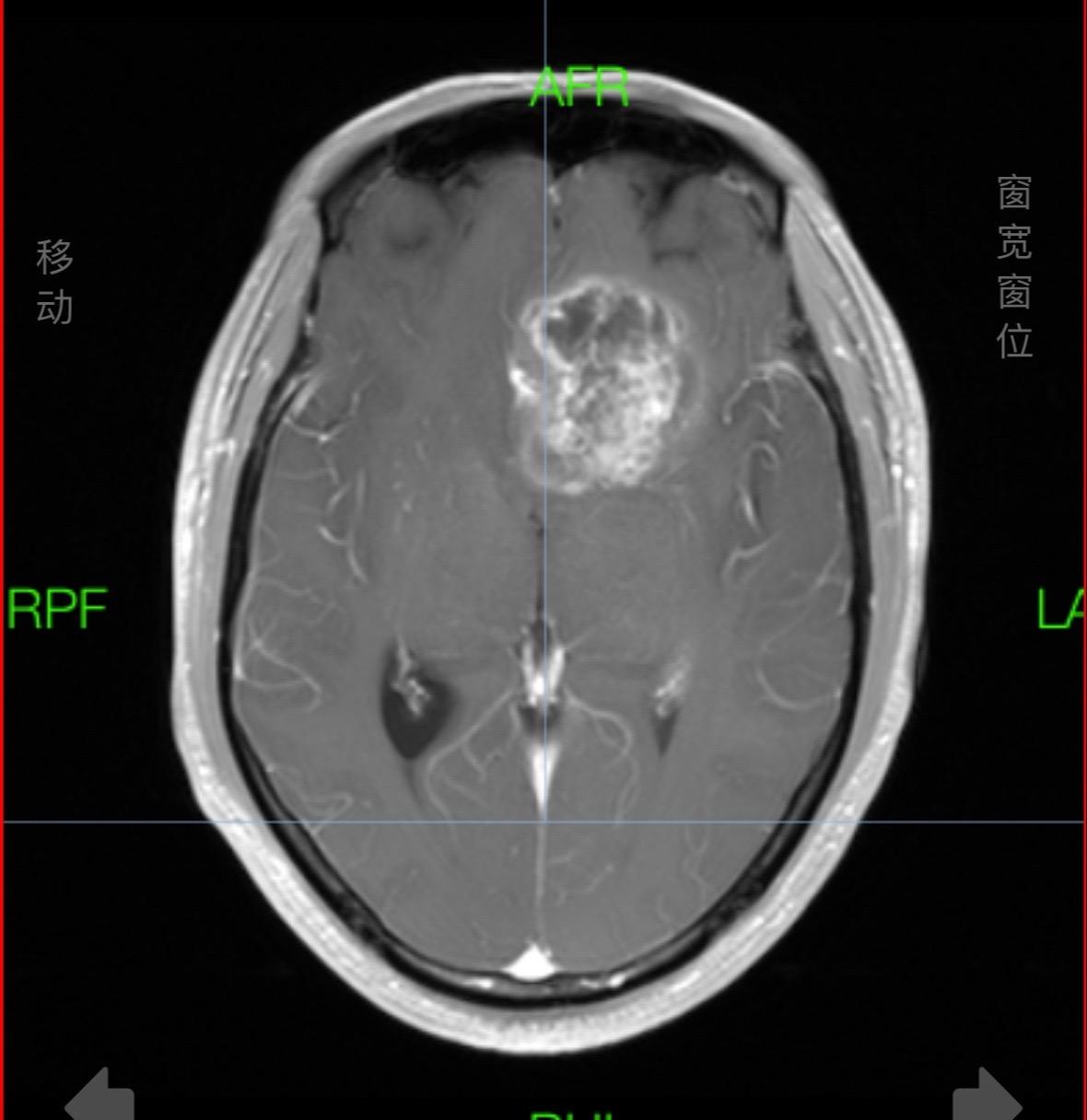
掩盖牙痛的手术。这个肿瘤,周边的重要结构实在太多了,连前交通复合体、内囊前肢、下丘脑、脑室壁、尾状核、中动脉等都一一暴露,如刀尖上行走,手术中导航加持,术中磁共振如同老师一般给你阅卷打分,没想到术中的专注还有意想不到的效果,因为做手术前牙痛,没想到都因为专注做完手术还好了点,看来没入错行,一举两得!
2024-06-03 19:16:36
神经外科姚培森
健康
掩盖牙痛的手术。这个肿瘤,周边的重要结构实在太多了,连前交通复合体、内囊前肢、下丘脑、脑室壁、尾状核、中动脉等都一一暴露,如刀尖上行走,手术中导航加持,术中磁共振如同老师一般给你阅卷打分,没想到术中的专注还有意想不到的效果,因为做手术前牙痛,没想到都因为专注做完手术还好了点,看来没入错行,一举两得!
热门分类
推荐
热榜
军事
NBA
体育
社会
明星八卦
娱乐
财经
科技
汽车
历史
国际
游戏
动漫
公益
搞笑
商业
互联网
数码
国际足球
房产
家居
时尚
科学探索
职场
育儿
股票
教育
影视
情感
热点
中国军情
武器
中国南海
中国足球
亚洲杯
科比
综合体育
CBA
投资
楼市
大咖秀
外汇
创业
风口
SUV
豪车
概念车
优惠
新能源
美国
欧洲
朝日韩
俄罗斯
孕期
街拍
恋爱攻略
婚姻
正能量