DC娱乐网

神经外科姚培森的文章

我国科学家首次发现帕金森病底。我国科学家首次发现帕金森病底层逻辑,发表...

我国科学家首次发现帕金森病底。我国科学家首次发现帕金森病底层逻辑,发表...

我国科学家首次发现帕金森病底。我国科学家首次发现帕金森病底层逻辑,发表...
精神分裂症临床实验启动。精神分裂症临床实验启动

精神分裂症临床实验启动。精神分裂症临床实验启动

精神分裂症临床实验启动。精神分裂症临床实验启动
迷走神经刺激术。迷走神经刺激术,可用于偏瘫、意识障碍、癫痫等疾病!

迷走神经刺激术。迷走神经刺激术,可用于偏瘫、意识障碍、癫痫等疾病!

迷走神经刺激术。迷走神经刺激术,可用于偏瘫、意识障碍、癫痫等疾病!
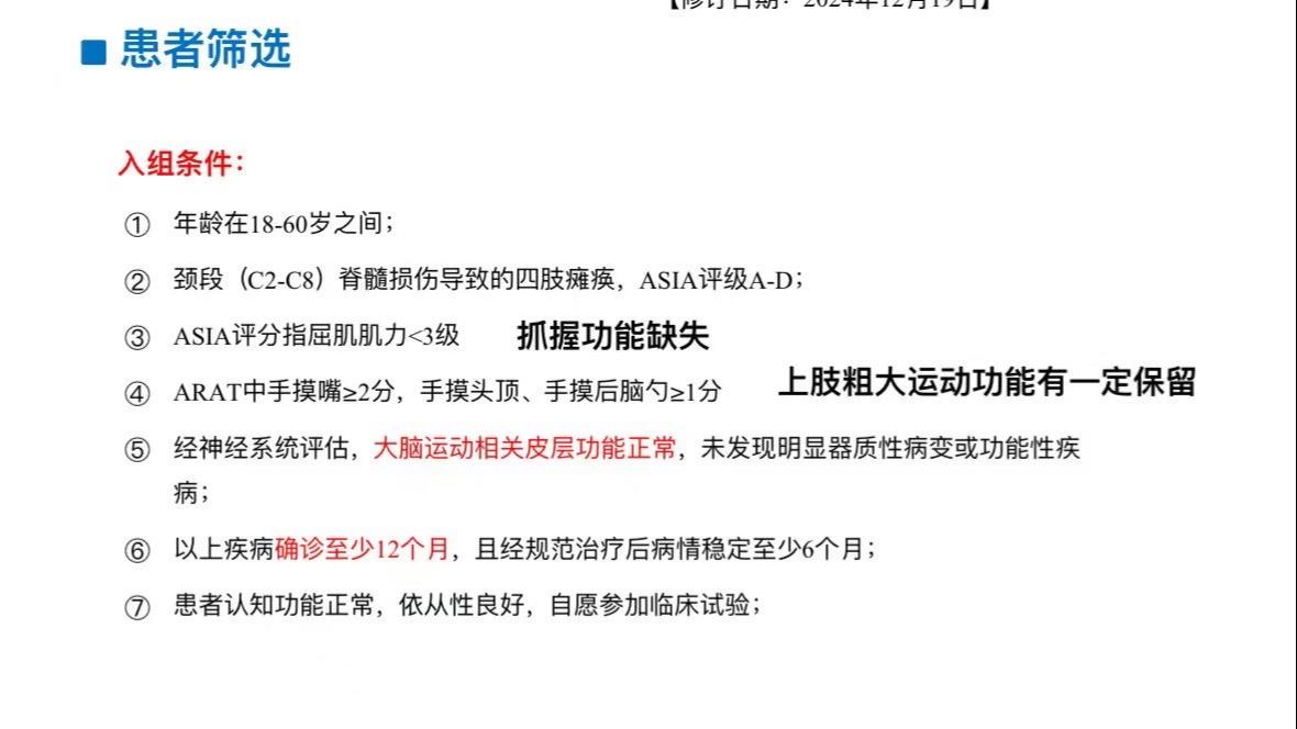
四肢瘫痪患者(高颈段脊髓损伤)进行脑机接口临床手术,即用思维和脑电控制肢体活动!

四肢瘫痪患者(高颈段脊髓损伤)进行脑机接口临床手术,即用思维和脑电控制肢体活动!

四肢瘫痪患者(高颈段脊髓损伤)进行脑机接口临床手术,即用思维和脑电控制肢体活动!
阿尔兹海默病手术-颈深淋巴静脉吻合。客观看待,术前还是要严格评估,不是...

阿尔兹海默病手术-颈深淋巴静脉吻合。客观看待,术前还是要严格评估,不是...

阿尔兹海默病手术-颈深淋巴静脉吻合。客观看待,术前还是要严格评估,不是...
抗帕金森治疗。新年继续抗帕治疗---新岁逐光  新岁携阳暖病躯, 药香...

抗帕金森治疗。新年继续抗帕治疗---新岁逐光 新岁携阳暖病躯, 药香...

抗帕金森治疗。新年继续抗帕治疗---新岁逐光 新岁携阳暖病躯, 药香...
截瘫和偏瘫许久是否还有站立和行走的希望?拓展新场景,动脉瘤术后截瘫2年...

截瘫和偏瘫许久是否还有站立和行走的希望?拓展新场景,动脉瘤术后截瘫2年...

截瘫和偏瘫许久是否还有站立和行走的希望?拓展新场景,动脉瘤术后截瘫2年...
抗“帕”治疗,我们一直在路上!分享一位特殊帕金森患者,居然在右侧STN...

抗“帕”治疗,我们一直在路上!分享一位特殊帕金森患者,居然在右侧STN...

抗“帕”治疗,我们一直在路上!分享一位特殊帕金森患者,居然在右侧STN...
一首打油诗,展现了帕金森病患者脑深部电刺激治疗术后对团队的信任,就是不...

一首打油诗,展现了帕金森病患者脑深部电刺激治疗术后对团队的信任,就是不...

一首打油诗,展现了帕金森病患者脑深部电刺激治疗术后对团队的信任,就是不...
今日三台手术。1.椎动脉压迫导致的面肌痉挛,血管如蟒蛇般缠绕,减压术后...

今日三台手术。1.椎动脉压迫导致的面肌痉挛,血管如蟒蛇般缠绕,减压术后...

今日三台手术。1.椎动脉压迫导致的面肌痉挛,血管如蟒蛇般缠绕,减压术后...
天下武功,唯快不破。针对复发或者不适合手术的天下第一痛---三叉神经痛...

天下武功,唯快不破。针对复发或者不适合手术的天下第一痛---三叉神经痛...

天下武功,唯快不破。针对复发或者不适合手术的天下第一痛---三叉神经痛...
脑深部电刺激(脑起搏器)用于治疗强迫症。脑深部电刺激可以用于治疗强迫症...

脑深部电刺激(脑起搏器)用于治疗强迫症。脑深部电刺激可以用于治疗强迫症...

脑深部电刺激(脑起搏器)用于治疗强迫症。脑深部电刺激可以用于治疗强迫症...
难治性精神疾病的手术治疗。如果通过药物及其他无创治疗仍有反复精神疾病发...

难治性精神疾病的手术治疗。如果通过药物及其他无创治疗仍有反复精神疾病发...

难治性精神疾病的手术治疗。如果通过药物及其他无创治疗仍有反复精神疾病发...
难治性抑郁症科普。难治性抑郁症及脑深部电刺激科普治疗

难治性抑郁症科普。难治性抑郁症及脑深部电刺激科普治疗

难治性抑郁症科普。难治性抑郁症及脑深部电刺激科普治疗
时光晃呀晃。连续10小时颅脑手术,做了一台帕金森病,一台面肌痉挛,一台...

时光晃呀晃。连续10小时颅脑手术,做了一台帕金森病,一台面肌痉挛,一台...

时光晃呀晃。连续10小时颅脑手术,做了一台帕金森病,一台面肌痉挛,一台...
脑内血管瘤合并癫痫。其实海绵状血管瘤如果在非功能区手术难度一般,但是如...

脑内血管瘤合并癫痫。其实海绵状血管瘤如果在非功能区手术难度一般,但是如...

脑内血管瘤合并癫痫。其实海绵状血管瘤如果在非功能区手术难度一般,但是如...
堪比科幻大片---侵袭性垂体瘤。采用显微镜与神经内镜相结合处理垂体瘤...

堪比科幻大片---侵袭性垂体瘤。采用显微镜与神经内镜相结合处理垂体瘤...

堪比科幻大片---侵袭性垂体瘤。采用显微镜与神经内镜相结合处理垂体瘤...
疑难杂症。复发的面肌抽搐,难度很大!

疑难杂症。复发的面肌抽搐,难度很大!

疑难杂症。复发的面肌抽搐,难度很大!
帕金森病手术治疗。帕金森病如果符合适应症,建议手术治疗改善症状、延缓病...

帕金森病手术治疗。帕金森病如果符合适应症,建议手术治疗改善症状、延缓病...

帕金森病手术治疗。帕金森病如果符合适应症,建议手术治疗改善症状、延缓病...
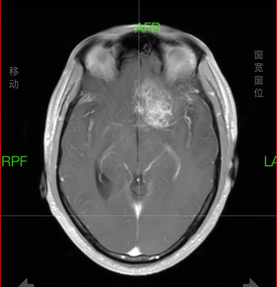
掩盖牙痛的手术。这个肿瘤,周边的重要结构实在太多了,连前交通复合体、内囊前肢、下丘脑、脑室壁、尾状核、中动脉等都一一暴露,如刀尖上行走,手术中导航加持,术中磁共振如同老师一般给你阅卷打分,没想到术中的专注还有意想不到的效果,因为做手术前牙痛,没想到都因为专注做完手术还好了点,看来没入错行,一举两得!

掩盖牙痛的手术。这个肿瘤,周边的重要结构实在太多了,连前交通复合体、内囊前肢、下丘脑、脑室壁、尾状核、中动脉等都一一暴露,如刀尖上行走,手术中导航加持,术中磁共振如同老师一般给你阅卷打分,没想到术中的专注还有意想不到的效果,因为做手术前牙痛,没想到都因为专注做完手术还好了点,看来没入错行,一举两得!

掩盖牙痛的手术。这个肿瘤,周边的重要结构实在太多了,连前交通复合体、内囊前肢、下丘脑、脑室壁、尾状核、中动脉等都一一暴露,如刀尖上行走,手术中导航加持,术中磁共振如同老师一般给你阅卷打分,没想到术中的专注还有意想不到的效果,因为做手术前牙痛,没想到都因为专注做完手术还好了点,看来没入错行,一举两得!