DC娱乐网
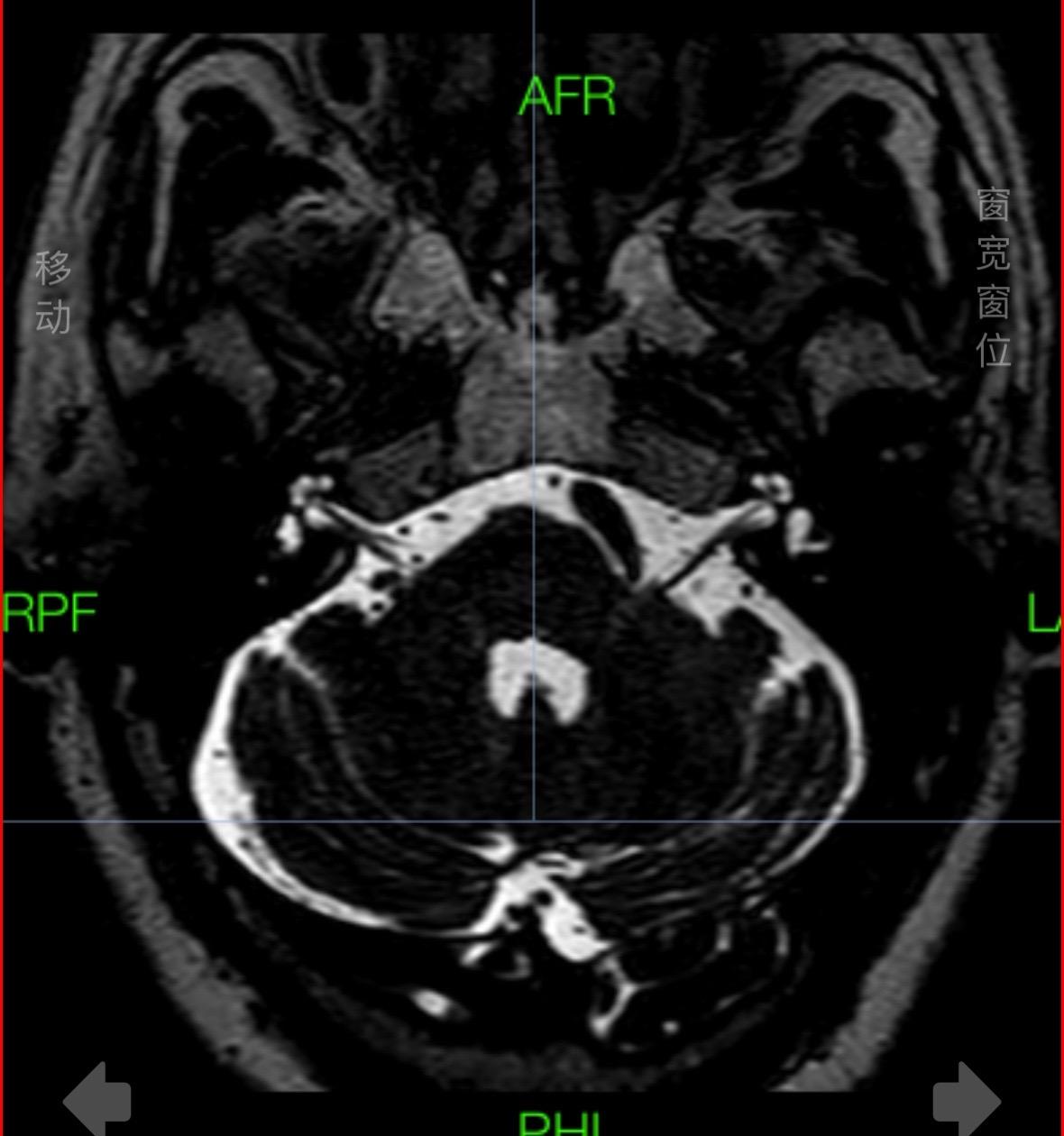
今日三台手术。1.椎动脉压迫导致的面肌痉挛,血管如蟒蛇般缠绕,减压术后...
2024-09-03 19:49:10
神经外科姚培森
健康
今日三台手术。手术室日常 1.椎动脉压迫导致的面肌痉挛,血管如蟒蛇般缠绕,减压术后脸皮不再跳;2.手指麻木、疼痛、肌肉萎缩,是周围神经的标志性特征,手术治疗后缓解;3.臂丛神经断裂和损伤,5-7大部分断裂,只能一期松解,二期利用自体神经行颈7神经移植
热门分类
推荐
热榜
军事
NBA
体育
社会
明星八卦
娱乐
财经
科技
汽车
历史
国际
游戏
动漫
公益
搞笑
商业
互联网
数码
国际足球
房产
家居
时尚
科学探索
职场
育儿
股票
教育
影视
情感
热点
中国军情
武器
中国南海
中国足球
亚洲杯
科比
综合体育
CBA
投资
楼市
大咖秀
外汇
创业
风口
SUV
豪车
概念车
优惠
新能源
美国
欧洲
朝日韩
俄罗斯
孕期
街拍
恋爱攻略
婚姻
正能量