DC娱乐网

神经外科姚培森的文章

528,和帕金森说再见!520,让秦艾德脑起搏器起效!

528,和帕金森说再见!520,让秦艾德脑起搏器起效!

528,和帕金森说再见!520,让秦艾德脑起搏器起效!
哎,很不幸,是恶性脑肿瘤。还不到30岁,初步病理提示高级别胶质瘤(恶性脑肿瘤),导航引导及功能保护下切除肿瘤

哎,很不幸,是恶性脑肿瘤。还不到30岁,初步病理提示高级别胶质瘤(恶性脑肿瘤),导航引导及功能保护下切除肿瘤

哎,很不幸,是恶性脑肿瘤。还不到30岁,初步病理提示高级别胶质瘤(恶性脑肿瘤),导航引导及功能保护下切除肿瘤
充实着每一天。今天一天三叉神经痛行微血管减压,一台痛行球囊,一台脑的骨头缺损,缺乏颅骨保护,行颅骨修补,三台术后复查CT可

充实着每一天。今天一天三叉神经痛行微血管减压,一台痛行球囊,一台脑的骨头缺损,缺乏颅骨保护,行颅骨修补,三台术后复查CT可

充实着每一天。今天一天三叉神经痛行微血管减压,一台痛行球囊,一台脑的骨头缺损,缺乏颅骨保护,行颅骨修补,三台术后复查CT可
面肌痉挛-“左眼跳财,右眼跳灾”面肌抽搐,发作时候眼睛睁不开,口角歪斜,手术为面神经微血管减压

面肌痉挛-“左眼跳财,右眼跳灾”面肌抽搐,发作时候眼睛睁不开,口角歪斜,手术为面神经微血管减压

面肌痉挛-“左眼跳财,右眼跳灾”面肌抽搐,发作时候眼睛睁不开,口角歪斜,手术为面神经微血管减压
三台手术完成。今天紧凑了一点,一台脑起搏器植入治疗帕金森病,一台三叉神经痛减压,一台三叉神经痛球囊压迫术

三台手术完成。今天紧凑了一点,一台脑起搏器植入治疗帕金森病,一台三叉神经痛减压,一台三叉神经痛球囊压迫术

三台手术完成。今天紧凑了一点,一台脑起搏器植入治疗帕金森病,一台三叉神经痛减压,一台三叉神经痛球囊压迫术
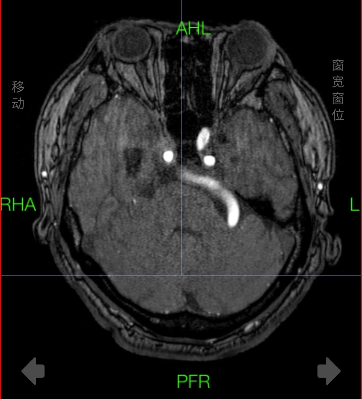
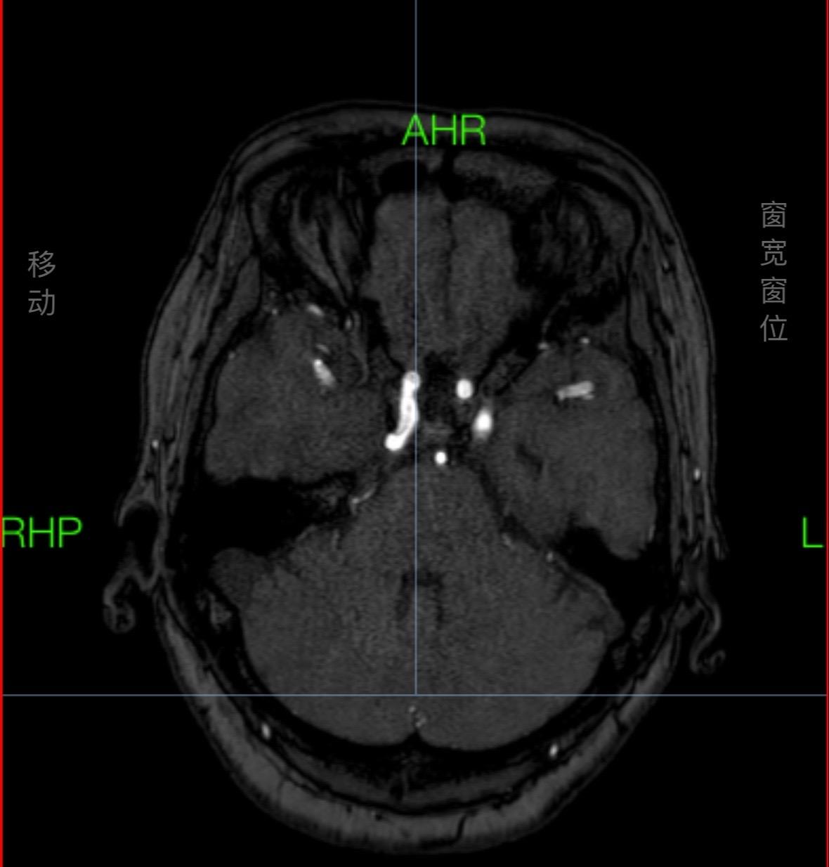
疼痛难忍。碰上这么一条“大蛇”(白色-椎基底动脉延长扩张)导致三叉神经痛,疼痛难忍,开颅风险较高,今日球囊手术顺利解决疼痛!

疼痛难忍。碰上这么一条“大蛇”(白色-椎基底动脉延长扩张)导致三叉神经痛,疼痛难忍,开颅风险较高,今日球囊手术顺利解决疼痛!

疼痛难忍。碰上这么一条“大蛇”(白色-椎基底动脉延长扩张)导致三叉神经痛,疼痛难忍,开颅风险较高,今日球囊手术顺利解决疼痛!
高温“烧死”肿瘤。利用机器人植入光纤,磁共振引导下高温消融颅内恶性肿瘤,看起来像科幻片,需要大量人力和高端设备加持!

高温“烧死”肿瘤。利用机器人植入光纤,磁共振引导下高温消融颅内恶性肿瘤,看起来像科幻片,需要大量人力和高端设备加持!

高温“烧死”肿瘤。利用机器人植入光纤,磁共振引导下高温消融颅内恶性肿瘤,看起来像科幻片,需要大量人力和高端设备加持!
垂体瘤(生长激素型)分泌型垂体肿瘤难度还是较大,经鼻子手术,双镜联合,同时术中磁共振辅助,术后生长激素终于恢复正常!

垂体瘤(生长激素型)分泌型垂体肿瘤难度还是较大,经鼻子手术,双镜联合,同时术中磁共振辅助,术后生长激素终于恢复正常!

垂体瘤(生长激素型)分泌型垂体肿瘤难度还是较大,经鼻子手术,双镜联合,同时术中磁共振辅助,术后生长激素终于恢复正常!
🏓型---痛!痛!痛!痛!痛!痛! 三叉神经痛球囊手术日常,如果身体条件较一般,或者其他原因不能耐受开颅的可以作为其中一个选择!

🏓型---痛!痛!痛!痛!痛!痛! 三叉神经痛球囊手术日常,如果身体条件较一般,或者其他原因不能耐受开颅的可以作为其中一个选择!

🏓型---痛!痛!痛!痛!痛!痛! 三叉神经痛球囊手术日常,如果身体条件较一般,或者其他原因不能耐受开颅的可以作为其中一个选择!
帕金森病-机器人辅助手术。帕金森病由于需要精准植入,常采用立体定向框架或者机器人来精准制导,且手术需要人员较多!

帕金森病-机器人辅助手术。帕金森病由于需要精准植入,常采用立体定向框架或者机器人来精准制导,且手术需要人员较多!

帕金森病-机器人辅助手术。帕金森病由于需要精准植入,常采用立体定向框架或者机器人来精准制导,且手术需要人员较多!
脸疼+脸歪是什么痛苦?本来疼已经很难受,再加上脸歪了简直是“雪上加霜”,一侧三叉神经痛,同时合并面肌痉挛,少见,但是偶尔会碰到,同一侧一个手术切口下一起处理!

脸疼+脸歪是什么痛苦?本来疼已经很难受,再加上脸歪了简直是“雪上加霜”,一侧三叉神经痛,同时合并面肌痉挛,少见,但是偶尔会碰到,同一侧一个手术切口下一起处理!

脸疼+脸歪是什么痛苦?本来疼已经很难受,再加上脸歪了简直是“雪上加霜”,一侧三叉神经痛,同时合并面肌痉挛,少见,但是偶尔会碰到,同一侧一个手术切口下一起处理!
最疼的脸,合并嘴疼的脸。最疼的脸痛,三叉神经痛,利用复合手术室的高科技、高精尖设备用于治疗三叉神经痛有什么好处? 灵活的机械臂、快速的术中Dyna CT、高清的图像,给予患者保驾护航!

最疼的脸,合并嘴疼的脸。最疼的脸痛,三叉神经痛,利用复合手术室的高科技、高精尖设备用于治疗三叉神经痛有什么好处? 灵活的机械臂、快速的术中Dyna CT、高清的图像,给予患者保驾护航!

最疼的脸,合并嘴疼的脸。最疼的脸痛,三叉神经痛,利用复合手术室的高科技、高精尖设备用于治疗三叉神经痛有什么好处? 灵活的机械臂、快速的术中Dyna CT、高清的图像,给予患者保驾护航!
脊髓起搏器-单侧脊髓电刺激术。脊髓电刺激术应该范围较广,可用于昏迷促醒、疼痛、步态障碍等

脊髓起搏器-单侧脊髓电刺激术。脊髓电刺激术应该范围较广,可用于昏迷促醒、疼痛、步态障碍等

脊髓起搏器-单侧脊髓电刺激术。脊髓电刺激术应该范围较广,可用于昏迷促醒、疼痛、步态障碍等
羊癫疯是不治之症吗? 今天门诊有人问起癫痫(俗称羊癫疯)是否可以治疗,有效率如何?我回答说当你药物控制不理想的时候,可以尝试外科手术干预!

羊癫疯是不治之症吗? 今天门诊有人问起癫痫(俗称羊癫疯)是否可以治疗,有效率如何?我回答说当你药物控制不理想的时候,可以尝试外科手术干预!

羊癫疯是不治之症吗? 今天门诊有人问起癫痫(俗称羊癫疯)是否可以治疗,有效率如何?我回答说当你药物控制不理想的时候,可以尝试外科手术干预!