DC娱乐网
俺是李昕宇的文章
拇外翻交流群(深圳)
2024-07-23 01:09
拇外翻交流群(深圳)
拇外翻手术后如何才能恢复快?
2024-07-24 00:46
拇外翻手术后如何才能恢复快?
拇外翻手术断骨后的故事
2024-07-25 00:29
拇外翻手术断骨后的故事
拇外翻交流群(上海)
2024-07-24 01:02
拇外翻交流群(上海)
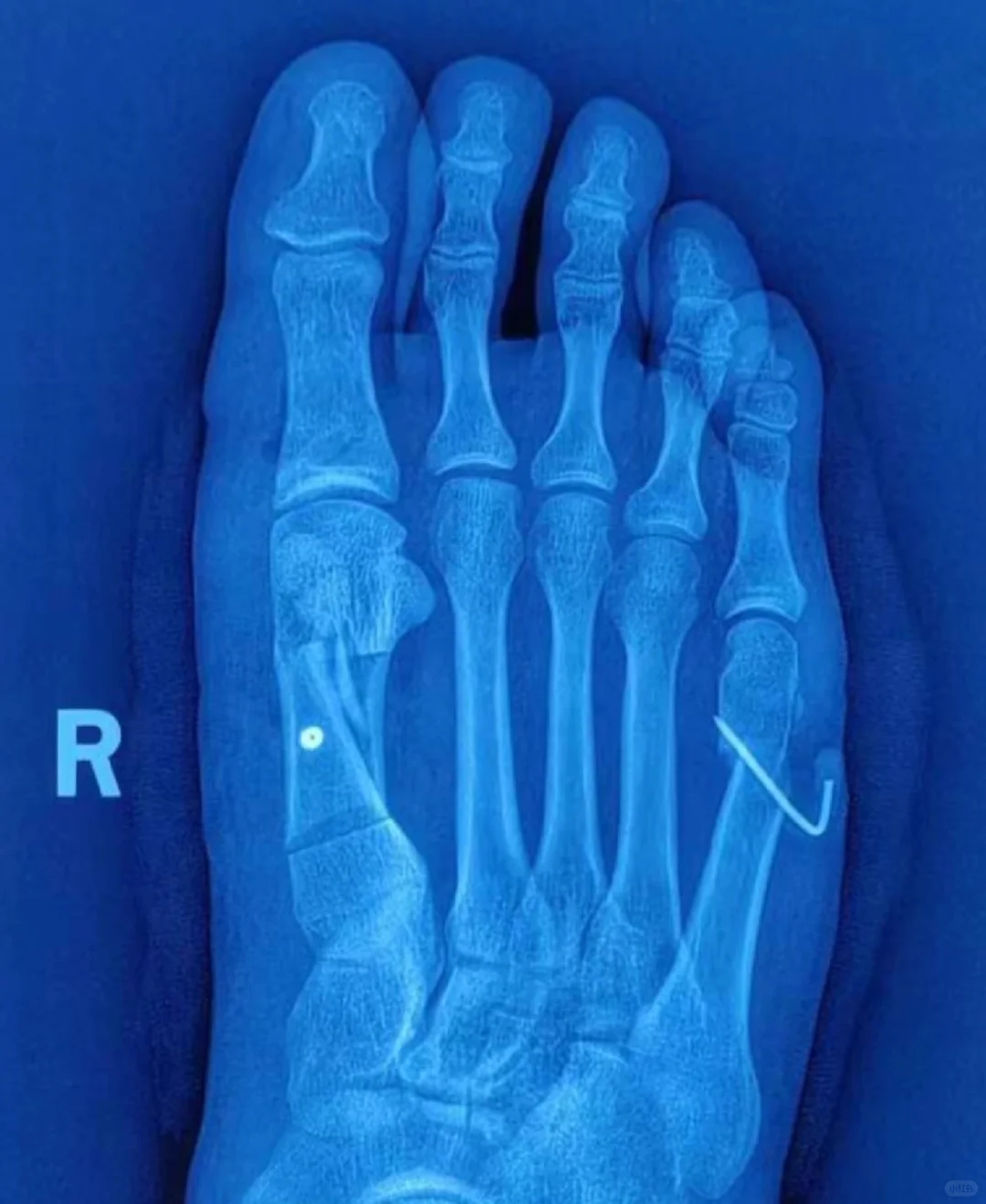
拇趾畸形是拇外翻,小趾呢?
2024-07-25 01:18
拇趾畸形是拇外翻,小趾呢?
微创术后II型畸形翻修……获得研究突破
2024-07-26 00:37
微创术后II型畸形翻修……获得研究突破
微创术后畸形~~一种新型畸形
2024-07-26 01:03
微创术后畸形~~一种新型畸形
翻修
2024-07-23 00:11
翻修
拇外翻手术三部曲
2024-07-24 00:40
拇外翻手术三部曲
拇外翻手术评分研究
2024-07-25 01:00
拇外翻手术评分研究
摘掉多余的香蕉
2024-07-26 01:30
摘掉多余的香蕉
拇外翻手术的几个确定
2024-07-23 00:11
拇外翻手术的几个确定
拇外翻术前准备
2024-07-24 01:09
拇外翻术前准备
手术翻修问题总结
2024-07-25 00:36
手术翻修问题总结
拇外翻术后改如何掰脚趾?
2024-07-26 09:07
拇外翻术后改如何掰脚趾?
关于拇外翻手术后肿胀问题
2024-07-23 01:07
关于拇外翻手术后肿胀问题
第一页
作者信息
俺是李昕宇
感谢大家的关注
分类: 健康
热门分类
推荐
热榜
军事
NBA
体育
社会
明星八卦
娱乐
财经
科技
汽车
历史
国际
游戏
动漫
公益
搞笑
商业
互联网
数码
国际足球
房产
家居
时尚
科学探索
职场
育儿
股票
教育
影视
情感
热点
中国军情
武器
中国南海
中国足球
亚洲杯
科比
综合体育
CBA
投资
楼市
大咖秀
外汇
创业
风口
SUV
豪车
概念车
优惠
新能源
美国
欧洲
朝日韩
俄罗斯
孕期
街拍
恋爱攻略
婚姻
正能量