DC娱乐网
俺是李昕宇的文章
手术台上的风景
2024-07-22 19:14
手术台上的风景
对我自己患者的倡议
2024-07-22 19:14
对我自己患者的倡议
15年风雨兼程
2024-07-22 19:14
15年风雨兼程
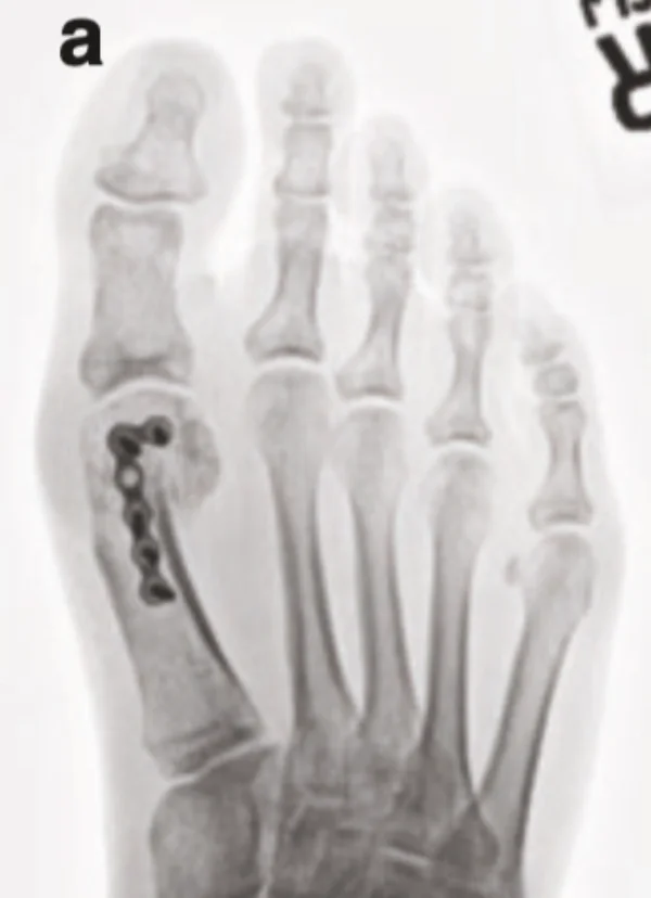
为什么手术后还有个包?
2024-07-26 01:58
为什么手术后还有个包?
为什么拇外翻始终不是美容手术
2024-07-25 01:36
为什么拇外翻始终不是美容手术
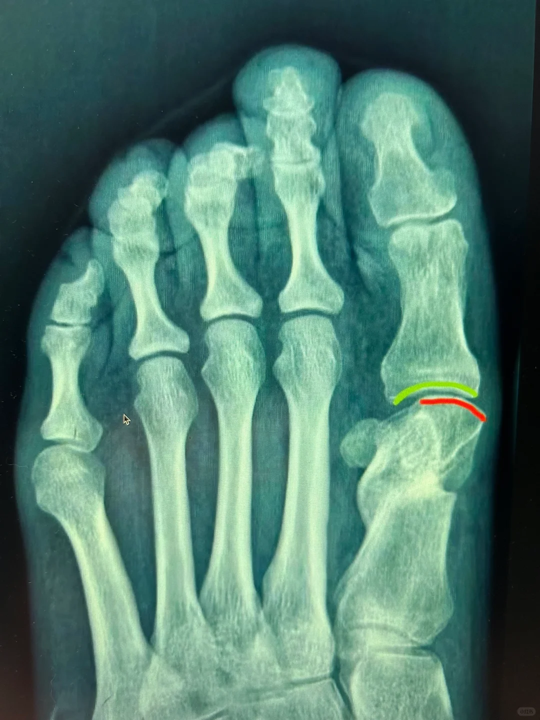
拇外翻术后硌脚原因分析
2024-07-25 01:38
拇外翻术后硌脚原因分析
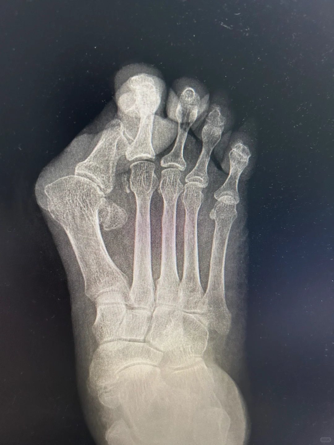
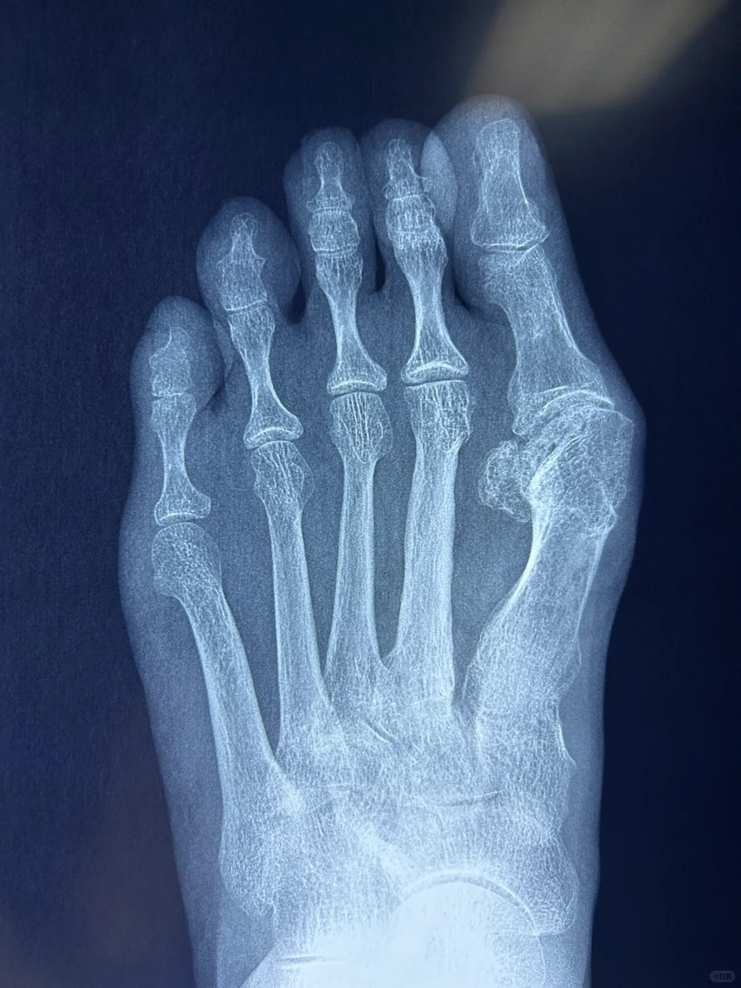
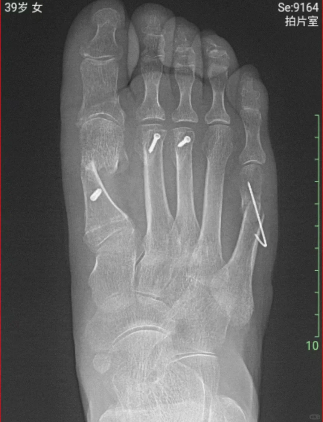
拇外翻术后X片
2024-07-24 00:58
拇外翻术后X片
谈谈小白鼠
2024-07-25 00:26
谈谈小白鼠
12年前的微创手术
2024-07-24 00:34
12年前的微创手术
青少年拇外翻应对方案
2024-07-23 00:10
青少年拇外翻应对方案
Scarf截骨术治疗拇外翻
2024-07-24 01:13
Scarf截骨术治疗拇外翻
拇外翻手术常见的并发症1
2024-07-23 00:01
拇外翻手术常见的并发症1
跖骨头缺血坏死
2024-07-26 01:18
跖骨头缺血坏死
拇外翻术后三年半
2024-07-23 00:10
拇外翻术后三年半
关于拇外翻矫正器
2024-07-26 01:18
关于拇外翻矫正器
拇外翻手术的”所见所得”技术
2024-07-26 15:49
拇外翻手术的”所见所得”技术
关于拇外翻手术费用问题
2024-07-25 00:08
关于拇外翻手术费用问题
为什么有的老人拇外翻非常严重?
2024-07-24 00:02
为什么有的老人拇外翻非常严重?
片子直就没问题了吗?
2024-07-23 00:13
片子直就没问题了吗?
手术医生与木匠的区别
2024-07-23 01:08
手术医生与木匠的区别
第一页
下一页
作者信息
俺是李昕宇
感谢大家的关注
分类: 健康
热门分类
推荐
热榜
军事
NBA
体育
社会
明星八卦
娱乐
财经
科技
汽车
历史
国际
游戏
动漫
公益
搞笑
商业
互联网
数码
国际足球
房产
家居
时尚
科学探索
职场
育儿
股票
教育
影视
情感
热点
中国军情
武器
中国南海
中国足球
亚洲杯
科比
综合体育
CBA
投资
楼市
大咖秀
外汇
创业
风口
SUV
豪车
概念车
优惠
新能源
美国
欧洲
朝日韩
俄罗斯
孕期
街拍
恋爱攻略
婚姻
正能量